background
banner

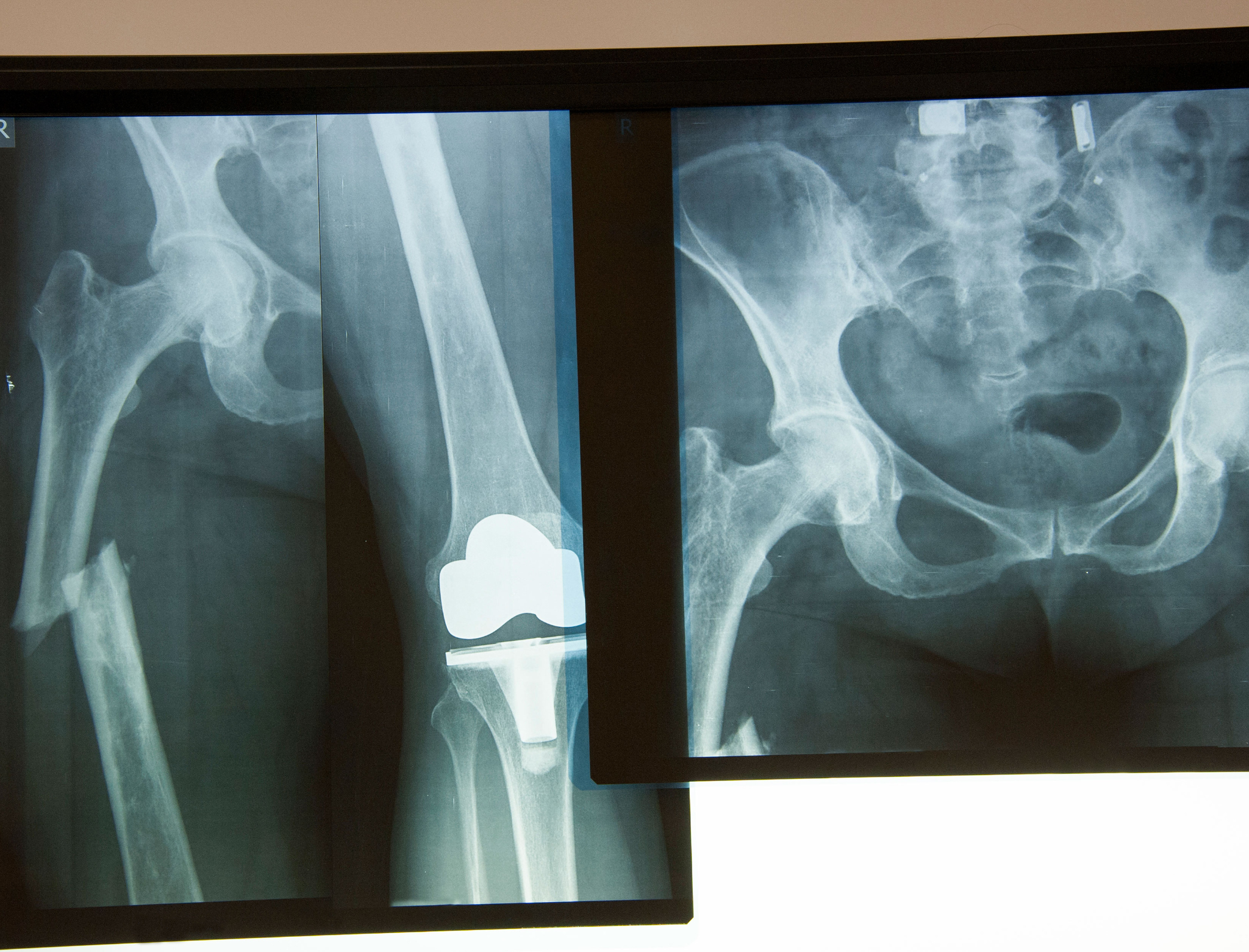
Hip Fracture Surgery

Various types of accidents and their causes injury to your upper part of the thighbone (femur) leading to a hip fracture.

Make Appointment
What is a Hip Fracture?

Various types of accidents and their causes injury to your upper part of the thighbone (femur) leading to a hip fracture. Hip fractures can also be common among the elders due to natural and inevitable weakening of bone structures and due to overall decline in the general health. Almost all hip fractures cause severe pain and may require surgery instantly except in a few rare cases.

What are the risk factors for Hip Fracture?

Fractures of the hip are becoming more common and cause of a hip fracture include:

Lifestyle: It is very crucial to have healthy and active lifestyle. Unhealthy drinking levels of alcohol may weaken bones and may increase your fracture risk.
Medications: Some medicines can cause side effects such as lethargy or a drop in blood pressure, which can cause you to lose your balance leading to untoward accidents.
Age: Many seniors and some people having movement and balance related issues, may fall and fracture. In most of the cases, aging over 65 can weaken bones and make them porous and brittle (osteoporosis).
Gender: Comparing to Older men, aged women are vulnerable to get hip fractures as all women gradually tend to lose bone mass after menopause. Bone – breakdown, accidents, fractures, or injury may be more expected among aging women folks. Genetically, women are more likely to have osteoporosis than men by four times
Overall health: Some people may have vitamin D, calcium, and other nutrients deficiencies and such individuals may have a fracture risk. Also, health conditions such as dementia and Parkinson’s disease, increase the risk of a fall. Conditions such as Rheumatoid arthritis, Osteoarthritis, Osteonecrosis, and tumor in the hip can also often weaken the hip joint.
What are the symptoms of a Hip Fracture?

Although the onset of hip fracture symptoms typically come on suddenly, they can also start gradually and worsen with time. Signs of a hip fracture include:

Hip pain is severe and sharp.
Mild or achy hip pain.
Pain in the thigh, outer hip, pelvis, and groin area.
Pain may radiate down your buttock to your leg (sciatica).
Limited mobility
You may have a bruise on your hip.
One of your legs may appear shorter than the other.
The hip might look like it is out of position, twisted, or rotated.