background

Relieve pain. Regain motion.

We specialize in guiding patients through the complete journey of healing—from injury or surgery to full mobility and strength.

  • Examination

  • Prescription

  • Cardiogram

  • Blood Pressure

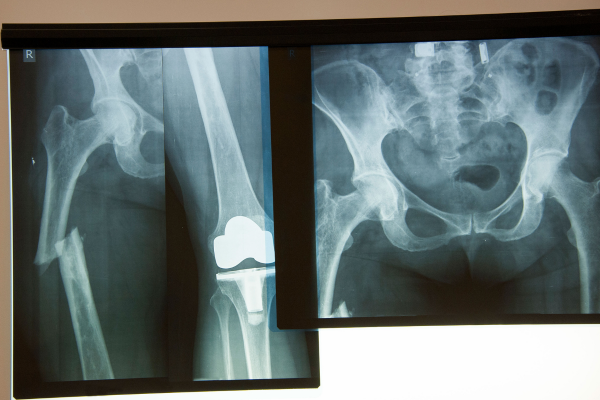
Our Hip Procedures

img

Hip Arthroscopy

Read More
img

Hip Cartilage Repair

Read More
img

Hip Fracture Surgery

Read More
img

Hip Labral Repair

Read More
img

Total Hip Replacement

Read More